
Shi Karim and his patient discuss a recent implant case and the entire practice team’s award-winning approach to patient care.
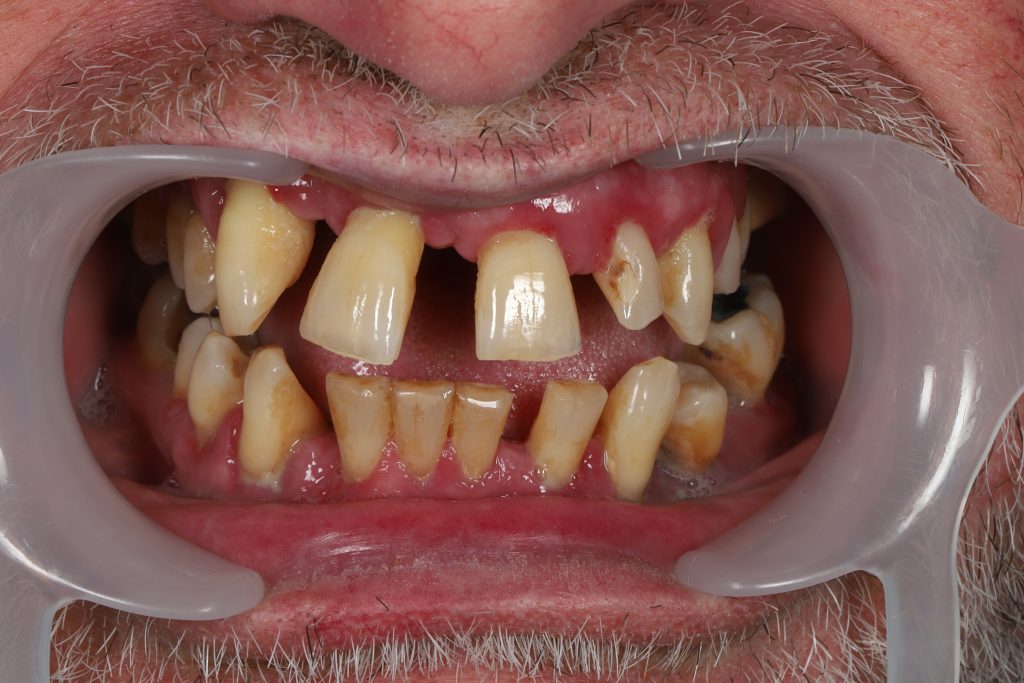
This male patient came as a referral from another practice seeking treatment to restore his smile. He communicated feeling self-conscious about speaking, smiling and showing his teeth in general. He had started to find it difficult to enjoy certain foods.



What were the key challenges in this particular case, and how did you approach solving them?
Shi Karim (SK): The patient had multiple acute infections in his upper arch and large cystic areas. This wasn’t a case where I was comfortable immediately loading the uppers. We discussed the options available and decided the best course of treatment was to remove all upper teeth and provide a temporary bridge for three months to allow the active infections to settle and for things to improve, reducing our risks. Going from upper natural dentition to a complete denture obviously posed a challenge for the patient, luckily he understood why it was necessary and he was fully onboard with it.
Adblock test (Why?)






